
Ultrasound with Doppler: What’s the Difference and Why It Matters in Lameness Exams
Ultrasound is one of the most valuable tools we have in equine sports medicine—offering real-time imaging of tendons, ligaments, joints, and surrounding soft tissues. But not all ultrasound exams are the same.
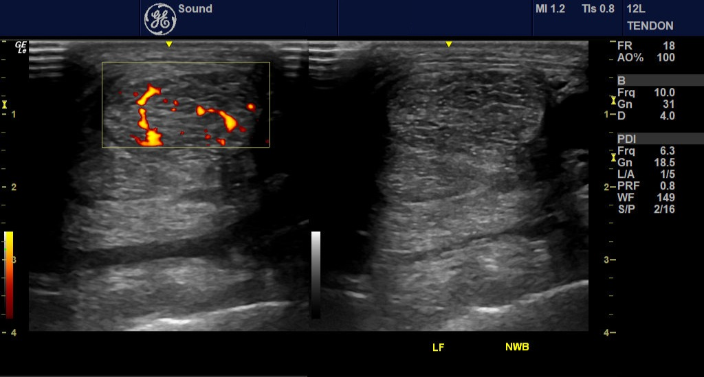
Doppler ultrasound adds a new dimension by assessing blood flow, helping us determine whether a lesion is active, inflamed, or in the healing phase. This difference matters when you’re treating high-level performance horses.
Standard Ultrasound: The Foundation of Soft Tissue Imaging
Standard (B-mode) ultrasound produces grayscale images that show the structure, shape, and integrity of tissues. It’s ideal for identifying:
– Tendon fiber disruption or core lesions
– Suspensory ligament enlargement
– Joint capsule thickening
– Bursal effusion and synovitis
These scans form the baseline for most soft tissue diagnostics and are critical for tracking healing over time.
What Doppler Adds
Doppler ultrasound—specifically color and power Doppler—allows us to evaluate blood flow within or around a lesion. Why is this helpful?
– Active lesions often show increased vascularity (neovascularization)
– Older, scarred injuries typically have little to no blood flow
– Guides biologic treatments like stem cells or PRP to the most active zones
– Improves injection planning by confirming vascular supply
Doppler helps us go beyond structure and assess activity and inflammation. This is especially helpful in chronic or recurring injuries, where clinical signs may not match the grayscale appearance.
When We Use Doppler
At Daniel Equine, we include Doppler assessment in all advanced musculoskeletal scans—especially when:
– Evaluating suspicious or vague lameness
– Planning biologic injections
– Monitoring tendon healing phases
– Performing follow-up exams post-treatment
For performance horses in full work, knowing whether an injury is actively inflamed or simply scarred helps us tailor both treatment and timeline.
Why This Matters
Not every clinic offers Doppler—and not every case requires it. But for soft tissue injuries in sport horses, Doppler can clarify whether what we see on screen is clinically active, or part of an old, stable injury. That distinction changes how we treat, how we manage, and when we return a horse to training.
📍 Serving Wellington, Ocala, and traveling for advanced diagnostics by request.
If your horse has a chronic lameness or an unresolved tendon injury, schedule an ultrasound exam with Doppler capability. We’re here to guide you from diagnosis through recovery—every step of the way.
